人生を変える
たった1本のインプラント
ONE IMPLANT
THAT CAN CHANGE YOUR LIFE.
全国の歯科医師に対し
3,200名以上のO.S.I 教育研修実績
[※2019年7月までの実績]
2,000症例
以上の実績
[1998年~現在]
人生を変える
たった1本のインプラント
ONE IMPLANT
THAT CAN CHANGE YOUR LIFE.
全国の歯科医師に対し
3,200名以上のO.S.I 教育研修実績
[※2019年7月までの実績]
2,000症例
以上の実績
[1998年~現在]
COUNSELING
インプラントをご検討のかたは
お気軽にご相談ください
無料カウンセリング実施中
お気軽にお越しください
9:00~13:00/14:30~19:00
※土曜午後は18:30まで 休診:木・日・祝
REASON
2,000症例
以上の実績
[1998年~現在]
豊富な実績と
確かな技術で支える
インプラント治療
当院では、これまでに2,000症例以上(1998年~現在)のインプラント治療を行ってきた実績があります。顎や噛み合わせに関する深い知識と技術が求められるこの分野で、日本顎咬合学会認定医である歯科医師が、一人ひとりに合わせた適切な診断と精密な手術を提供しています。
O.S.I インプラント
教育研修について
インプラント治療の発展と安全性の向上を目指し、O.S.I教育研修プログラムを実施してきました。これまでに3,200名を超える歯科医師が受講し、基礎から応用、難症例への対応まで幅広い知識と技術を習得していきました。実践的なカリキュラムと臨床に即した指導により、多くのドクターから高い評価をいただいています。これからも、質の高いインプラント治療の普及と、患者さんに安心して選ばれる医療の実現に貢献してまいります。
先端機器を活用した
精密なインプラント治療
歯科用CT・セファロによる骨の診断、口腔内スキャナー(プライムスキャン)による型取り、そしてマイクロスコープによる細部の確認まで、精密な診断と治療を可能にする設備を導入しています。安全性と正確性を高めた治療を行っていますので安心してお任せください。
歯科用CT
口腔内スキャナー
マイクロスコープ
世界的に信頼されるアストラ
テックインプラントを採用
当院では、スウェーデン発の世界的なインプラントブランド「アストラテックインプラントシステム」を導入しています。独自の表面構造やネジの形状により、骨との結合性が高く、長期的な安定性に優れたインプラント治療を可能にします。また、審美性や耐久性にも定評があり、インプラント治療において長く快適に使い続けたいという患者さんの思いに応える製品です。世界70ヵ国以上で使用されている実績をもとに、安心と信頼の治療を提供しています。
快適な環境で安心して治療を受けられる空間づくり
清潔感とプライバシーに配慮した診療空間を整えており、オペ専用室には無影灯を設置しています。
さらに、インプラント手術後にゆっくりとお休みいただける専用の安静室をご用意しており、
半個室の診療スペースとあわせて落ち着いた環境を確保しています。
緊張しやすいインプラント治療もリラックスして受けていただける環境です。
専用オペ室(無影灯)
安静室
半個室診療室
清潔な環境で安心して
インプラント手術を受けて
いただくために
当院では、インプラントなどの外科処置を専用オペ室で行っています。手術当日は、午前中にスタッフがオペ室内の清掃を徹底し、空気の質まで整えた上で、午後からの手術に備えます。手術中は外部と空間を遮断し、雑菌の混入を防ぐ環境を維持。オペで最も大切な「感染を起こさないこと」を徹底し、一般診療室での処置とは一線を画す清潔な手術環境を整えています。衛生面に配慮した、より安心なインプラント治療をご提供します。
全国の歯科医院から紹介多数
信頼される丁寧な
セカンドオピニオン対応
当院には、全国の歯科医院や医療機関から多くのご紹介をいただいています。また、セカンドオピニオンをご希望される患者さんのご相談にも幅広く対応しており、年間を通して多くのケースに携わっています。どのようなお悩みにも真摯に向き合うため、カウンセリングには十分な時間を確保し、患者さん一人ひとりが納得いただけるまで丁寧にご説明します。こうした信頼関係の構築を大切にし、多くの患者さんに安心して治療をお任せいただいています。
わかりやすさと
継続的なサポートで
治療後も安心
インプラント治療は、手術だけでなくその後のケアが大切です。当院では、ご希望のかたには歯科衛生士による担当制メンテナンスを導入し、患者さんの状態を継続的に管理しています。治療説明にはDENTAL Xを用い、視覚的にわかりやすいご説明を心がけています。分かりにくい点などありましたらお気軽にご相談ください。
眠っているような状態で
安心して治療を受けられる
静脈内鎮静法
「歯科治療が怖い」「インプラントは痛そう」そんな不安をお持ちのかたもご安心ください。当院では、ご希望に応じて静脈内鎮静法を使用し、眠っているようなリラックスした状態で手術を受けていただけます。恐怖心や緊張がやわらぐことで、治療中のストレスが軽減され、安全性の高い処置が可能になります。過去に治療が怖くて受けられなかったかたにもおすすめの方法です。
DATA

統計が証明する高い
成功率と信頼性
当院では、5年間で1,067本のアストラテックインプラントを植立し、その成功率は上顎で98.5%、下顎で99.1%という非常に高い結果を示しています。これは、アストラテックが公表している10年間のフォローアップで97~98%を上回る水準です。患者さんに安心して治療を受けていただけるよう、エビデンスに基づいたインプラント治療を行っています。

骨の状態に合わせた
確実な処置
骨質や骨量に応じて、スプリットクレストやサイナスリフトなどの補助的処置を適切に選択・実施しています。骨の状態が不十分な場合でも、120症例で骨補填を行い、わずか3例のみの失敗と、非常に高い成功率を維持しています。難症例にも対応できる体制が整っているのが、当院の強みです。

幅広い症例に対応できる
治療技術
年齢や骨の硬さ、喫煙の有無など、患者さんごとのリスク因子を考慮した治療を徹底しています。50歳前後の患者さんを中心に、術前診査の徹底と、適切な診断・設計力にこだわっています。

合併症の発生率は1%未満
5年間に報告されたインプラント関連の合併症は、全体の1%未満。破折や動揺などのトラブルは極めてまれであり、再手術や補綴の再製作もごく一部にとどまっています。綿密なメンテナンスと、精密な埋入技術によるトラブル予防を徹底しています。

インプラントサイズ別の
安全性も明示
当院で使用されたインプラントは、多くがΦ3.5~4.5mmのスタンダードサイズで、Φ5.0mmのような太径インプラントは少数にとどまります。サイズ別の失敗率も明示しており、安全性に裏付けを持つサイズ設計に基づいた治療を行っています。
COUNSELING
インプラントをご検討のかたは
お気軽にご相談ください
無料カウンセリング実施中
お気軽にお越しください
9:00~13:00/14:30~19:00
※土曜午後は18:30まで 休診:木・日・祝
TROUBLE
入れ歯が合わず
食事がしづらい
見た目が気になって
人前で自然に笑えない
歯を抜いた後の
選択肢がわからない
長くしっかり噛める
歯を取り戻したい
できれば周囲の歯を
削らずに治療したい
治療に不安があり
詳しく説明を聞きたい
「インプラントは難しい」
と言われてしまった
このようなお悩みを
お持ちのかたには
インプラント治療が
おすすめです
IMPLANT
噛む力・見た目・快適さを
自然な形で取り戻す選択
インプラント治療は、失われた歯の機能と見た目を取り戻すための先進的な選択肢です。顎の骨に人工歯根を埋め込み、その上に人工の歯を装着することで、天然歯に近い噛み心地や美しさを再現できます。入れ歯のようなぐらつきが少なく、周囲の歯を削る必要もありません。しっかり噛んで、自然に笑える日常を目指したいかたにおすすめです。
噛む力が強い
顎の骨に固定されるインプラントは、しっかりと噛む力を発揮できるのが特徴です。食材を選ばず、天然歯に近い力で咀嚼できます。
美味しく食べられる
入れ歯のようなズレや違和感が少なく、会話や食事も自然に楽しめます。味覚や食感を妨げにくいため、食事の満足度が高まります。
隣の歯を痛めにくい
ブリッジのように健康な歯を削る必要がないため、周囲の歯へのダメージを抑えることができます。将来的な歯の喪失リスクも軽減できます。
自然な見た目
歯ぐきとの調和や形状にこだわった人工歯の作製により、天然歯と見分けがつきにくい自然な見た目を再現できます。
顎骨が痩せにくい
歯を失うと顎の骨が徐々に吸収されますが、インプラントは骨に直接力が伝わるため、骨の退縮を抑えることが期待できます。
定期ケアで長持ち
適切なセルフケアと歯科医院での定期的なメンテナンスを継続することで、10年、20年と長期的に安定した状態を保ちやすくなります。
注意点・リスク・副作用
・骨が成長途中であるお子さん(およそ18歳未満のかた)は、インプラント治療はできません。
・インプラント治療では、痛み止めや抗生物質などを使用するため、妊娠中のかた、妊娠の可能性のあるかた、授乳中のかたは、インプラント治療を控えてください。
・心疾患、骨粗鬆症など内科的な疾患のあるかたは、インプラント治療に適さない場合があります。
・上顎にインプラントを埋入する際に上顎洞を破る可能性があります。
・手術した時に感染が生じると蓄膿症になる場合があります。この場合は、インプラントを除去し、耳鼻咽喉科で治療を受けていただくことがあります。
COUNSELING
インプラントをご検討のかたは
お気軽にご相談ください
無料カウンセリング実施中
お気軽にお越しください
9:00~13:00/14:30~19:00
※土曜午後は18:30まで 休診:木・日・祝
ADVANCED
過去に治療を断られたかたでも、
あきらめずご相談ください
インプラント治療は、骨の状態や口腔内環境によって難易度が変わります。そのため、「自分には無理かもしれない」と感じているかたも多いかもしれません。当院では、一人ひとりのお口の状態に応じて、適切な治療計画をご提案しています。他院で難しいとされた症例にも対応できる設備と経験がありますので、まずはお気軽にご相談ください。
リッジプリザベーション
抜歯と同時に骨補填材を詰め、骨の吸収を抑える処置です。将来的なインプラント治療を見据え、骨の高さや幅を維持する目的で行われます。骨造成が不要になるケースもあり、患者さんの負担軽減にもつながります。
抜歯即時埋入
抜歯と同時にインプラント体を埋め込む方法です。手術回数が減ることで身体的な負担が少なく、治療期間の短縮も期待できます。抜歯直後の組織を活かせるため、審美性の高い仕上がりにつながるケースもあります。
抜歯早期埋入
抜歯から1~2ヵ月程度経過したあと、歯ぐきの初期治癒を待ってからインプラントを埋入します。炎症を回避しやすく、自然な回復を促しながら早期の補綴へ進める方法です。
抜歯待時埋入
抜歯後の治癒をしっかりと待ち、歯ぐきや骨が落ち着いてから行う治療法です。半年程度の治癒期間を経て埋入することで、より安定した骨環境を確保できます。骨が痩せないように「リッジプリザベーション(抜歯窩温存)」を併用する場合もあります。
遊離歯肉移植術(FGG)
歯ぐきが薄くなった部位に、口蓋などから採取した健康な歯肉を移植する治療です。厚みのある歯ぐきを再建することで、インプラントをしっかりと支える土台を作ることができます。特に歯周病によって歯ぐきが後退した部位では、清掃性と審美性を取り戻すために有効です。
結合組織移植術(CTG)
歯ぐきの中にある結合組織だけを採取し、必要な部位に移植する方法です。移植した部位が自然に馴染みやすく、審美的な仕上がりを得やすいことが特徴です。前歯部など、特に見た目を重視するケースでよく用いられます。

GBR
骨が不足している部分に対して行う骨造成治療です。骨の再生を促す「メンブレン」と呼ばれる特殊な人工膜を使用し、歯肉の細胞が骨の再生部位に入り込まないようにコントロールします。これにより、骨が再生するスペースを確保でき、インプラントをしっかりと支えられる骨量を得ることが可能です。

ソケットリフト
上顎の奥歯にインプラントを埋入したいが、骨の高さが足りない場合に行う治療法です。専用の器具を使って上顎洞の底部を押し上げ、その空間に骨補填材を挿入します。比較的侵襲が小さいため、身体への負担が少なく済むのが特徴です。必ずインプラントも同時に埋入します。

サイナスリフト
ソケットリフトよりも骨が大きく不足している症例に適応される骨造成術です。側方から歯ぐきを開き、上顎洞の底を慎重に持ち上げて骨補填材を挿入します。大きな骨造成が必要な場合に有効ですが、術後の治癒期間が長くなる傾向があるため、綿密な治療計画が必要です。
条件が整えば同時にインプラントを埋入することも可能ですが、骨吸収が著しい場合は骨造成と埋入を分けて行います。

ボーンアンカードブリッジ
ほとんどの歯を失ったかたに向けて、インプラントを複数本埋入し、連結された人工歯(ブリッジ)を固定する治療法です。いわゆる「オールオンフォー(All-on-4)」に似た考え方で、当院では6~8本のインプラント体を用いて安定性をより高めています。しっかり固定されるため、ずれることがなく、天然歯に近い噛み心地を再現できます。食事中の違和感が少なく、見た目も自然で会話の際も安心です。

インプラントオーバーデンチャー
顎の骨に埋入したインプラントに、義歯を固定させる仕組みを活かした治療法です。通常の入れ歯のように取り外してお手入れできるため、衛生的に保ちやすい点が特徴です。装着時の安定感があり、食べ物をしっかり噛めるほか、発音の明瞭さも改善しやすくなります。入れ歯が合わない、動いてしまうというお悩みをお持ちのかたにもおすすめです。インプラント治療がはじめてというかたにも導入しやすい選択肢です。
SECOND OPINION
セカンドオピニオンとしても
ご利用ください
「骨が足りないと言われた」「抜歯しないと難しいと言われた」など、他院でインプラント治療を断られてしまったご経験があるかたも、ぜひ一度ご相談ください。当院では、豊富な症例実績と先端設備を活かし、難症例にも柔軟に対応しています。他院の診断に不安がある場合や、治療方法を比較検討したい場合も、セカンドオピニオンの場としてご利用いただけます。一人ひとりのお悩みに丁寧に向き合い、無理のない選択肢をご提案いたします。
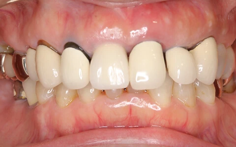
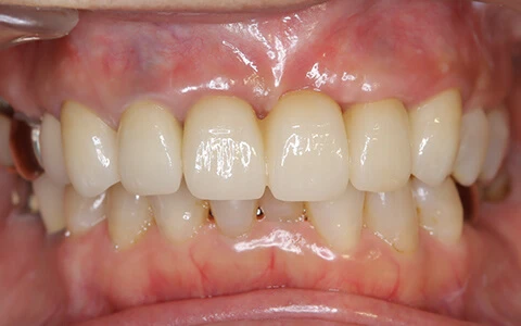
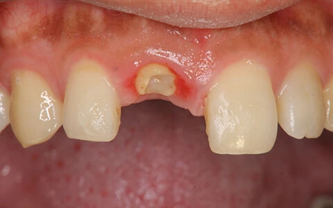
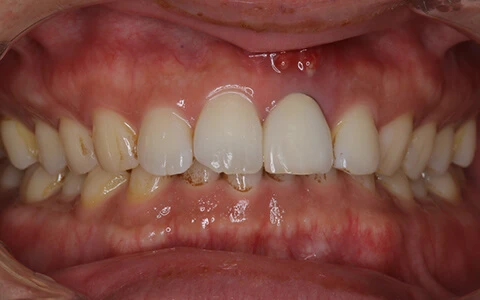
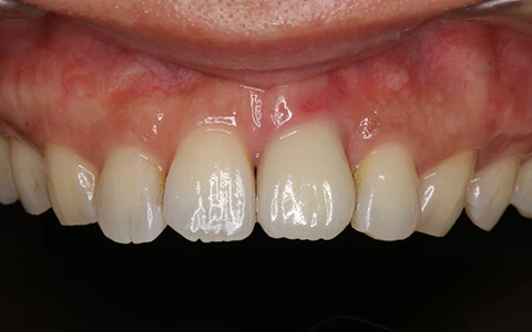
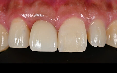
CASE
COUNSELING
インプラントをご検討のかたは
お気軽にご相談ください
無料カウンセリング実施中
お気軽にお越しください
9:00~13:00/14:30~19:00
※土曜午後は18:30まで 休診:木・日・祝
COMPARISON
入れ歯・ブリッジと比べた、
インプラントの違い
歯を失った際の治療法には、入れ歯・ブリッジ・インプラントがあります。入れ歯は保険が適用されるものの違和感が出やすく、ブリッジは健康な歯を削る必要があります。インプラントは人工歯根を顎の骨に埋め込むため、しっかり噛めて見た目も自然。周囲の歯に負担をかけず、自分の歯のように快適な毎日を取り戻せます。
| 種類 |
インプラント
|
ブリッジ
|
入れ歯
|
放置
|
|---|---|---|---|---|
| 違和感の 有無 |
◎ ほとんど感じない | ● 感じることは少ない | ▲ 感じることがある |
▲
見た目や噛み心地の 悪さを感じる |
| 審美性の 高さ |
◎
天然歯のように 自然で美しい仕上がり |
▲
部分的に目立って 見えることがある |
▲
種類によっては 違和感がでる |
▲
顔の印象が 変わる可能性がある |
| 周りの歯への 影響 |
◎ ほとんどない |
▲
健康な歯を削る 必要がある |
▲
健康な歯に負荷が かかることがある |
▲ 歯の傾斜がみられる |
| 治療期間の 長さ |
▲ 4~9ヵ月程度 | ◎ 数ヵ月 | ◎ 数ヵ月 | ― |
| 耐久性の 強さ |
◎ 10~20年の使用が可能 | ● 5~10年の使用が可能 |
▲
数年ごとに調整が 必要である |
▲
残っている歯の健康を 妨げる可能性がある |
| 外科処置の 有無 |
▲ 手術が必要 | ◎ 手術は不要 | ◎ 手術は不要 | ― |
FLOW
無料カウンセリング
お口の状態やご希望をうかがいながら、インプラント治療の大まかな流れや費用、期間などについてご説明します。治療が不安なかたでも、丁寧にお話をお聞きしますのでご安心ください。現在のお悩みや治療に関する疑問なども、カウンセリング時にじっくりご相談いただけます。
精密検査
インプラントを安全に埋入するために、顎の骨の厚みや神経の位置、歯ぐきの状態などを詳しく検査します。歯科用CTや口腔内スキャナー(プライムスキャン)を用いて、正確な3Dデータを取得し、リスクの少ない治療計画へとつなげます。
診断・治療計画
検査結果をもとに、インプラントの位置や本数、必要な骨造成の有無などを判断し、治療計画を立案します。診断結果は画像などを使いながらわかりやすくご説明し、複数の選択肢をご提案することもあります。ご納得いただいたうえで治療を開始します。
一次手術
顎の骨にインプラント体(人工歯根)を埋め込む手術を行います。局所麻酔下で処置を行うため、痛みの少ない治療が可能です。手術後はインプラントと骨がしっかり結合するまでの治癒期間を設け、安定した状態になるのを待ちます。
二次手術
インプラント体が骨と結合したのを確認した後、人工歯を支えるためのアバットメント(土台)を取り付ける処置を行います。この段階では歯ぐきを少し開いてパーツを装着するだけの小さな手術となるため、患者さんのご負担も軽く済みます。
人工歯の取り付け
歯ぐきが治癒した後、見た目や噛み合わせなどを考慮して作製した人工歯(上部構造)を装着します。天然歯のような自然な見た目と、しっかり噛める機能性を実感していただけます。装着後は最終的な微調整も丁寧に行います。
メンテナンス
インプラントを長く快適に使っていただくためには、定期的なメンテナンスが欠かせません。当院では歯科衛生士による専用ケアを行い、噛み合わせのチェックや清掃指導も実施しています。インプラント周囲炎の予防にもつながります。
インプラントも
歯周病になります!
周囲炎の予防が長持ちの鍵です
インプラントを埋入した後も、ケアを怠ると「インプラント周囲炎」と呼ばれる歯周病に似た炎症が起こることがあります。歯ぐきの腫れや出血、進行による骨の吸収などを引き起こし、放置するとせっかくのインプラントが抜け落ちる可能性もあります。毎日の丁寧な歯みがきに加え、定期的なケアを受けることで、インプラントを長く快適に保つことができます。
DEMERIT
インプラント治療は多くのかたに選ばれている優れた治療法ですが、すべてのかたにとって万能というわけではありません。手術が必要であったり、治療期間が長くなるケースもあります。当院では、治療のメリットだけでなく、リスクや注意点も含めて正直に、丁寧にお伝えすることを大切にしています。納得したうえで安心して治療を進めていただけるよう、事前のカウンセリングや説明に力を入れています。
当院では
デメリットに対しても
しっかりと向き合い
安心につながる
取り組みを実施しています
歯科用CTなどを用いた事前シミュレーションと丁寧な説明を行い、負担を抑えた治療計画をご提案しています。
咬合力のバランスを事前に精密に分析し、破折リスクの低い設計と定期的なチェックで長期的な安定を目指しています。
わずかな変化も見逃さないよう定期的な診察を行い、必要に応じて補修や調整を行うことで、快適な状態を維持します。
インプラントは「治療して終わり」ではありません。専任の歯科衛生士による担当制メンテナンスでしっかりとサポートします。
正しいケア方法を丁寧にお伝えし、早期発見・早期対処ができる体制を整えています。
COUNSELING
インプラントをご検討のかたは
お気軽にご相談ください
無料カウンセリング実施中
お気軽にお越しください
9:00~13:00/14:30~19:00
※土曜午後は18:30まで 休診:木・日・祝
GREETING
院長 原 幸弘 Yukihiro Hara
生涯の歯の健康を守るために、
インプラントという選択を
私たちは「天然歯の保存」を診療理念に掲げ、一本でも多くの歯を残すための精密な治療に日々取り組んでいます。しかしながら、歯根破折など、やむを得ず抜歯が必要となるケースも多々存在します。
失った歯を補う治療を「補綴(ほてつ)」と呼びますが、補綴の選択において最も大切なのは「他の歯の寿命を縮めないこと」です。ブリッジや入れ歯といった従来の補綴治療は、周囲の歯を削ったり負担をかけるため、結果的にその歯の寿命を短くします。唯一、他の歯に負担をかけず、残っている歯の寿命を守ることができるのが「インプラント治療」です。私自身、外傷により前歯を歯根破折で失い、自らインプラント治療を選びました。現在もそのインプラントは良好に機能しており、自分の歯のように使えていて、とても良い治療だと実感しています。
ただし私の願いは、インプラントを「何度も必要としない未来」。当院に通っていただく患者さんの8020の達成です。そのためにはインプラント治療は必須だと考えております。そして治療後は、他の天然歯を守るためにも、必ず定期的なメインテナンスに通っていただくことが大切です。インプラント治療の終わりは「終わり」ではなく、「スタート」なのです。
皆さんが、生涯にわたり自分の歯で食事を楽しめるよう治療の予防、再治療も含めて生涯、全力でサポートいたします。最後になりますが、実際の使用感やご不安な点について、体験者としても歯科医師としても、どんなことでもお答えいたしますのでお気軽にご相談ください。
略歴
資格・所属学会
受講歴
副院長 原 法正 Norimasa Hara
一本でも多くの天然歯を守り、
一本でも多くの天然歯を
残せるように
我々、原歯科は天然歯を守るためのインプラントをモットーにインプラント治療を行っております。歯を失ってしまった部位の補い方の選択肢として、残っている歯に負担がかからない方法はインプラント治療だけです。そのためインプラントは他の天然歯を守る役割があります。他の選択肢を全て否定するわけではありません。しかし、ブリッジは隣の歯を削る必要があったり、入れ歯は健全な歯に針金(クラスプ)がかかるため、力の負担やむし歯のリスク、歯周病のリスクが上がったりと必ず他の天然歯にダメージが加わります。
我々、原歯科は一本でも多くの天然歯を守り、一本でも多くの天然歯を残せるような歯科医療を診療理念にしているため、歯を失ってしまった場合の選択としてインプラント治療を推奨しております。患者さんと同じ立場にたち、寄り添った丁寧な説明、丁寧な治療を心がけております。具体的な費用や治療期間、痛み、リスクなど気になることは患者さん人それぞれだと思いますのでご不安なことがありましたら、何でもお気軽にご相談ください。
略歴
資格・所属学会
受講歴
CLINIC
〒480-1105 愛知県長久手市丸根228番地
| 診療時間 | 月 | 火 | 水 | 木 | 金 | 土 | 日 | 祝 |
|---|---|---|---|---|---|---|---|---|
| 9:00~13:00 | ● | ● | ● | / | ● | ● | / | / |
| 14:30~19:00 | ● | ● | ● | / | ● | ▲ | / | / |
▲…土曜午後は18時30分まで
休診日:木曜、日曜、祝日
※祝日のある週は木曜診療
アクセス詳細
FEE
インプラント
| 外科用ステント | 33,000円 |
|---|---|
| CT撮影 | 16,500~22,000円 |
| 静脈内鎮静 | 66,000円 |
| 一次手術 | 231,000円 |
| 二次手術 | 66,000~77,000円 |
| 上部構造 | 187,000~275,000円 |
| ソケットリフト | 165,000円 |
| サイナスリフト | 275,000円 |
| GBR | 132,000~187,000円 |
※表示金額は全て税込みです
デンタルローンでのお支払い例
インプラント治療を月々約5,500円で始められます
※初回のお支払のみ、調整のため端数を含めた金額となります。
※治療費650,000円のインプラント治療を120回の分割払いでのお支払いいただく場合の例となります。
当院では、下記のお支払方法が可能です。
現金
現金でのお支払い
クレジットカード
VISA/JCB/
Mastercard/など
デンタルローン
低金利分割払いでの
お支払い
医療費控除について
1年間(1月1日~12月31日)で医療費を10万円以上支払った場合に、一定金額の所得控除を受けることができる制度が医療費控除です。ご自身のみならず、生計をともにするご家族の医療費も適応となります。詳しくは国税庁のホームページをご覧ください。
国税庁のホームページQ&A
インプラント治療は痛みがありますか?
手術中は麻酔を使用するため、痛みはほとんどありません。手術後は腫れや痛みが出ることもありますが、処方された薬でコントロールできる程度です。不安な場合は事前にご相談ください。
治療期間はどのくらいかかりますか?
インプラントの埋入から人工歯の装着まで、通常4ヵ月~9ヵ月ほどかかります。骨の状態や治癒のスピードによって異なるため、正確な期間は診断時にご説明いたします。
インプラントはどのくらいもちますか?
適切なセルフケアと定期的なメンテナンスを続けることで、35年以上快適に使われているかたも多くいらっしゃいます。ご自身の歯と同じように、丁寧なケアが長持ちの秘訣です。
保険は使えますか?
インプラント治療は自由診療となるため、基本的に保険の適用外です。ただし、条件によっては一部補助制度の対象となる場合もありますので、詳しくはスタッフまでお問い合わせください。
他院で断られましたが、治療できますか?
骨の量が不足しているかたや、難症例と診断されたかたにも対応できるよう、骨造成などの治療も行っています。まずはCTなどの検査を行い、治療の可能性を一緒に確認していきましょう。